Impianto dentale e Implantologia dentale guidata
La mancanza di denti può causare disagi funzionali, compromettendo la capacità di masticare correttamente e influenzando negativamente l'aspetto estetico del sorriso. Molte persone possono anche sperimentare dolore o disagio a causa di protesi mobili o parziali. Presso Oral Atelier, offriamo una soluzione efficace per queste problematiche: l'implantologia software guidata.
Questa particolare tecnologia consente di pianificare e posizionare gli impianti dentali con maggiore precisione. Grazie al Dr. Pier Carlo Frabboni e alle tecnologie utilizzate, siamo in grado di offrire risultati estetici e funzionali.
L'implantologia software guidata rappresenta una soluzione duratura e naturale per sostituire i denti mancanti, restituendoti un sorriso sano e luminoso.
Il processo prevede l'inserimento di un impianto dentale di titanio nel tessuto osseo della mascella o della mandibola, che funge da supporto per una nuova corona dentale. Una volta inserito, l'impianto si unisce con il tessuto osseo circostante, creando una base solida per la nuova corona dentale.
Vantaggi dell’impianto dentale
Uno dei principali vantaggi degli impianti dentali è il ripristino completo della funzionalità dei denti. Gli impianti dentali fungono da radici artificiali, che si integrano saldamente nell'osso mascellare. Questa solida base consente di ancorare le protesi in modo sicuro, così da offrire una stabilità e una capacità di masticazione paragonabile a quella dei denti naturali.
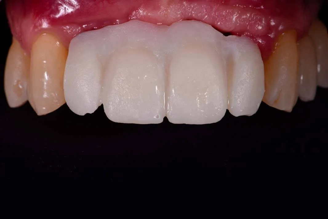
Oltre alla funzionalità, l'impianto dentale offre anche risultati estetici ottimi. Gli impianti dentali finiti con corona dentale, sono scelti su misura per adattarsi alla forma e al colore dei denti circostanti, creando un aspetto naturale e armonioso. Il tuo sorriso ripristinato apparirà naturale e impeccabile.
Un altro importante beneficio dell'implantologia dentale è la conservazione della salute orale a lungo termine. A differenza di soluzioni come ponti o protesi rimovibili, l’impianto dentale non richiede interventi invasivi sui denti sani adiacenti, preservando così la loro integrità. Inoltre, facilita una pulizia efficace dei denti e delle gengive, riducendo il rischio di carie e malattie gengivali.
Il Dr. Pier Carlo Frabboni ti accompagnerà in ogni fase del processo di implantologia software guidata, così da ottenere un risultato estetico e funzionale e soddisfare le più esigenti aspettative. Grazie al nostro approccio personalizzato, potrai scegliere la soluzione più adatta alle tue esigenze estetiche e funzionali.
Alcuni dei nostri casi di implantologia guidata
Impianto dentale: Caso implantologia dentale 1
Impianto dentale: Caso implantologia dentale 2
Impianto dentale: Caso implantologia dentale 3
Impianto dentale: Caso implantologia dentale 4
Domande frequenti
-
Un impianto dentale è composto da una vite di titanio che viene inserita nella mascella. Una volta consolidato, un moncone (o pilastro) viene avvitato all'impianto e una corona artificiale viene fissata sopra.
-
La procedura viene eseguita sotto anestesia locale, quindi non dovresti sentire dolore durante l'inserimento. Dopo l'intervento, potrebbero insorgere gonfiore e lieve dolore, ma questi sintomi sono gestibili con analgesici prescritti dal dentista.
-
Con una corretta manutenzione e igiene orale, un impianto dentale può durare molti anni, spesso anche una vita.
-
Mentre molti pazienti sono candidati idonei, esistono alcune condizioni che potrebbero precludere l'implantologia, come malattie croniche, problemi ossei o tabagismo. Una valutazione approfondita dal dentista è essenziale.
-
La cura di un impianto è simile a quella dei denti naturali: spazzolamento regolare, uso del filo interdentale e controlli dentali periodici.
-
Il periodo di guarigione può variare da paziente a paziente, ma in generale, la maggior parte delle persone torna alle normali attività dopo qualche giorno. L'osso potrebbe aver bisogno di alcuni mesi per guarire completamente attorno all'impianto.
